Slagle-Kiser
Home
Resources
Products
Submit Scan
Lab Tour
Contact
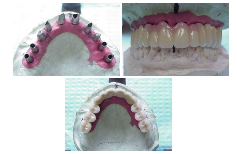
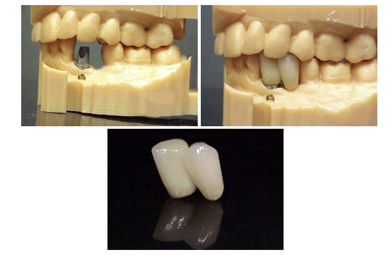
Implant Restorations
<<
Return to Products
>>